Entenda a Situação Atual da Mpox no Brasil
Atualmente, o Brasil não registra nenhum óbito relacionado à mpox, e os casos reportados são, em sua maioria, de leve a moderados. Para contextualizar, em 2025, foram contabilizados 1.079 casos e duas mortes.
No que diz respeito a Porto Alegre, o Ministério da Saúde está colaborando com a vigilância local para monitorar a situação. Medidas de vigilância, como a busca ativa e a vacinação de pessoas que tiveram contato com casos confirmados, estão em andamento.
Casos em São Paulo e Monitoramento Contínuo
Em São Paulo, o painel de monitoramento do Núcleo de Informações Estratégicas em Saúde (Nies) reporta 44 casos confirmados, três a mais do que os números fornecidos pelo Ministério da Saúde. No total, foram registradas 171 notificações este ano no estado.
Dentre os dados, 62 casos permanecem como suspeitos, 53 foram descartados, e um é classificado como provável. A Secretaria de Estado da Saúde de São Paulo ressalta que o monitoramento do cenário epidemiológico é constante. Todas as unidades de saúde estão seguindo protocolos técnicos rigorosos de vigilância, testagem e acompanhamento para garantir uma resposta eficiente a novos casos.
Vigilância Ativa e Ações do SUS
O Ministério da Saúde afirmou que o país mantém vigilância ativa e uma resposta estruturada em relação à mpox. O Sistema Único de Saúde (SUS) está preparado para realizar identificação precoce, manejo clínico adequado e acompanhamento dos pacientes afetados.
“As equipes de vigilância estão monitorando e investigando os casos, realizando rastreamento de contatos por um período de 14 dias, uma medida crucial para interromper possíveis cadeias de transmissão”, informou o ministério. Além disso, recomenda-se que indivíduos com sintomas compatíveis com a mpox, como erupções cutâneas, febre e linfonodos inchados, procurem imediatamente um serviço de saúde e informem sobre seu histórico de contato com casos suspeitos ou confirmados. O isolamento até avaliação médica e a adoção de práticas de higiene, como a lavagem frequente das mãos, são medidas essenciais para reduzir o risco de transmissão.
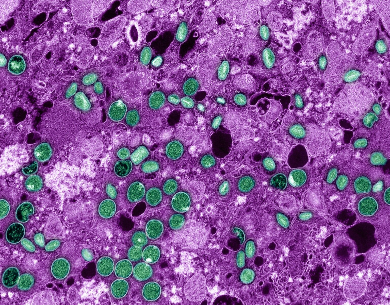
Compreendendo as Cepas do Vírus Mpox
A mpox é uma doença viral pertencente à mesma família da varíola, que foi erradicada em 1980. Embora seja menos comum, a doença costuma apresentar quadros mais leves. Existem duas principais cepas do vírus: uma associada à África Central, chamada de Clado 1, e outra à África Ocidental, conhecida como Clado 2.
Essas cepas foram renomeadas em 2022, quando também ocorreu a mudança do nome da doença de “varíola dos macacos” para mpox. O Clado 2, que apresenta sintomas mais brandos, foi o responsável pela propagação global em 2022, especialmente devido à nova variante 2b, que mostrou uma capacidade inédita de transmissão por meio de relações sexuais.
Formas de Transmissão da Mpox
Conforme esclarecido pela Organização Mundial da Saúde (OMS), a transmissão da mpox entre humanos pode ocorrer através de contato físico com uma pessoa infectada, materiais contaminados ou animais doentes. Um dos fatores que favoreceu a disseminação do vírus em 2022 foi a sua transmissão durante relações sexuais.
Todavia, novas evidências indicam que o Clado 1 também tem potencial para se propagar por meio do contato sexual. Richard Hatchett, diretor executivo da Coalizão para Inovações em Preparação para Epidemias (CEPI), já havia alertado sobre os riscos potenciais de novas transmissões da mpox por relações sexuais durante a 2ª Cúpula Global de Preparação para Pandemias no Rio de Janeiro no ano passado.
Identificando os Sintomas da Mpox
Os sintomas iniciais da mpox geralmente incluem febre, dores musculares, cansaço e linfonodos inchados. Um sintoma característico é o surgimento de erupções cutâneas (lesões) que começam no rosto e se espalham pelo corpo, especialmente nas mãos e pés. Nos casos de transmissão sexual, essas lesões podem surgir nas genitálias.
Os sintomas podem aparecer entre 6 e 13 dias após a infecção, podendo levar até três semanas para se manifestar. Na maioria das vezes, quando a doença é leve, os sintomas desaparecem espontaneamente entre duas e três semanas.
Prevenção e Cuidados Necessários
A prevenção da mpox envolve práticas como a higienização constante das mãos e a evitação de contato com pessoas infectadas. No Brasil, a vacinação é oferecida a maiores de 18 anos que vivem com HIV e apresentam contagens de células T CD4 abaixo de 200 nos últimos seis meses.

